Doença de Huntington foi tratada com sucesso pela 1ª vez

Doença de Huntington foi tratada com sucesso pela 1ª vez

Pela primeira vez, cientistas conseguem reduzir em 75% a progressão da doença de Huntington com terapia genética inovadora.


Jordão Vilela
Por Jordão Vilela

Já imaginou uma doença cruel sendo controlada pela primeira vez?

A doença de Huntington é considerada uma das mais devastadoras do mundo. Ela destrói células do cérebro e mistura sintomas semelhantes à demência, Parkinson e esclerose lateral. Até hoje, não havia tratamento realmente eficaz. Mas um novo avanço científico acaba de mudar essa história.

Pesquisadores conseguiram reduzir em 75% a progressão da doença usando uma terapia genética inédita. Isso significa que um declínio esperado em apenas um ano pode demorar até quatro anos para acontecer, oferecendo aos pacientes décadas a mais de qualidade de vida.

"Professores
Professores Ed Wild e Sarah Tabrizi – Foto: BBC

 

Como funciona a nova terapia genética?

Um vírus que entrega esperança

O tratamento usa um vírus modificado que atua como mensageiro. Ele carrega um pedaço de DNA especialmente desenhado para combater a mutação do gene huntingtin, responsável pela doença.

Esse vírus é implantado diretamente no cérebro durante uma cirurgia que pode durar de 12 a 18 horas. Uma vez lá dentro, as células passam a produzir moléculas capazes de bloquear a proteína tóxica que mata os neurônios.

"Huntington
O tratamento usa um vírus modificado que atua como mensageiro

 

Resultados impressionantes

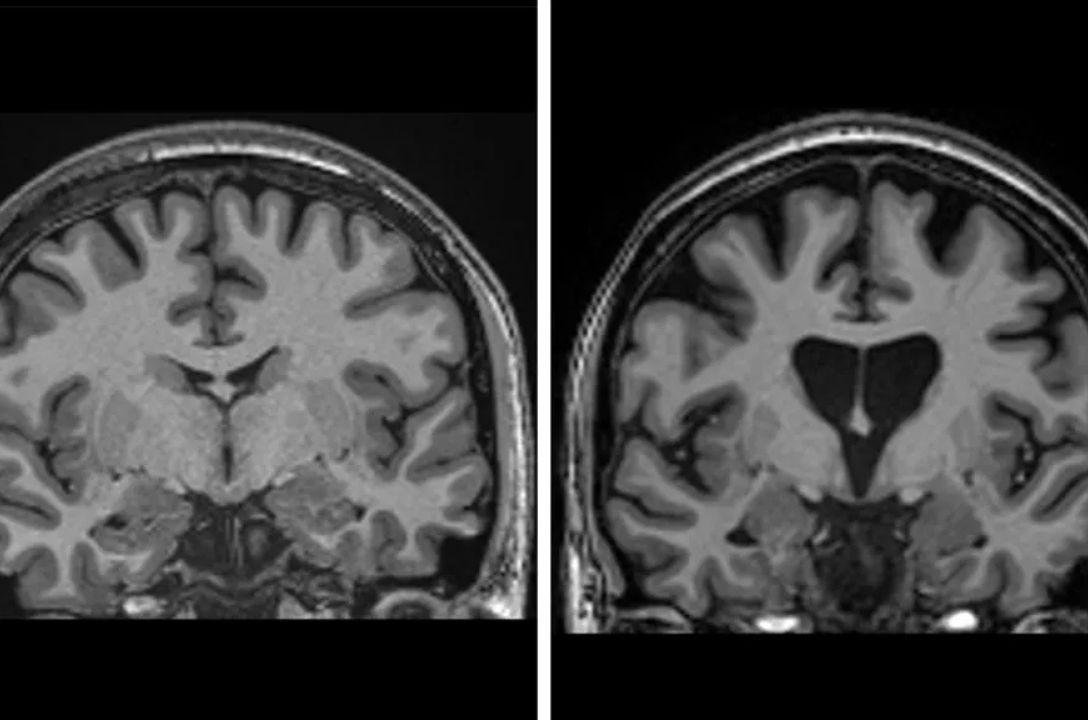
Três anos após a cirurgia, pacientes mostraram melhora significativa em funções motoras, cognitivas e de autonomia no dia a dia. Em alguns casos, pessoas que estavam aposentadas por invalidez conseguiram voltar a trabalhar.

Além disso, exames revelaram que a morte das células cerebrais diminuiu drasticamente. O resultado foi descrito pelos cientistas como “espetacular”.

O impacto para famílias afetadas

A doença de Huntington é hereditária. Se um dos pais tem o gene alterado, há 50% de chance de o filho herdar a condição. Normalmente, os primeiros sintomas aparecem entre os 30 e 40 anos e levam a um declínio progressivo até a morte, em cerca de 20 anos.

Com essa nova terapia, especialistas acreditam que será possível não apenas tratar sintomas, mas também prevenir que eles surjam em pessoas que carregam o gene, mudando completamente a história da doença.

O futuro da medicina genética

A terapia ainda é cara e complexa, mas abre portas para novos tratamentos. O que hoje é possível apenas para Huntington pode, em breve, ser aplicado a outras doenças neurológicas que até hoje não têm cura.

Estamos diante de um dos avanços mais emocionantes da medicina moderna, um marco que mistura tecnologia, ciência e esperança.

Reportar um erro

Encontrou um erro neste conteúdo? Descreva o problema abaixo e nossa equipe verificará.

Reportar-erro

Compartilhar

Sobre o autor

Jordão Vilela

Jordão Vilela é publicitário, criador de conteúdo e curioso por natureza. Apaixonado por cultura, ciência, comportamento e tudo aquilo que faz a gente parar e pensar “já imaginou isso?”.

Saiba mais

Veja também